lundi 27 novembre 2017

Une étude scientifique révèle la présence de contaminants particulaires inexpliquée dans 44 vaccins français et italiens

Publié par Le Nouveau Paradigme sur 27 Novembre 2017, 07:21am
Catégories : #Santé
Une étude scientifique révèle la présence de contaminants particulaires inexpliquée dans 44 vaccins français et italiens

Question à toutes les institutions nationales et européennes de Santé ainsi qu’à tous les partis politiques européens :

Pourquoi y a-t-il des nano composants de tungstène, titane, zirconium, hafnium, strontium, aluminium, nickel, antimoine, bismuth, cérium, cuivre, plomb, étain, baryum, vanadium, sodium…, tous plus toxiques les uns que les autres dans les vaccins diffusés à l’échelle mondiale par les laboratoires GlaxoSmithKline, Pfizer, Berna Biotech, Sanofi Pasteur, Novartis, Wyeth Pharmaceutical, Baxter, etc.

 

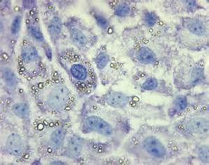
Une étude visant à rechercher des nano-particules dans les vaccins a été réalisée par les docteurs Antonietta M. Gatti et Stefano Montanari pour le Conseil National de Recherche d’Italie. Les résultats de leurs nano-diagnostics ont été publiés dans l’International Journal of Vaccines le 23 janvier 2017.
44 types de vaccins venant de France et d’Italie ont été analysés afin d’approfondir les études sur leurs effets secondaires. Pour ce faire, une méthode d’investigation par microscopie électronique à balayage avec microsonde à rayons X a été appliquée.

Les résultats de cette nouvelle étude montrent la présence de particules micro et nanométriques composées d’éléments inorganiques dans des échantillons de vaccins. La présence de ces contaminants particulaires reste à ce jour inexpliquée. Ils ne sont par ailleurs jamais signalés par les fabricants de vaccins.
Ces nanoparticules sont considérées comme non biodégradables et ne sont pas biocompatibles. Leur présence dans les vaccins permet d’étudier sous un angle nouveau les causes de certains effets secondaires. Elle permet également une nouvelle approche quant aux accidents post-vaccinaux et certaines maladies qui en découlent, autisme, sclérose en plaque, désordres immunitaires, maladies neuro-dégénératives, voire mort subite du nourrisson…

Particules nano retrouvées dans les vaccins

La gamme des micro et nano contaminants est très large. L’étude révèle la présence de métaux nanométriques ou combinés nano de :
tungstène, titane, zirconium, hafnium, strontium, aluminium, nickel, fer, antimoine, chrome, or, zinc, platine, argent, bismuth, cérium, cuivre, plomb, étain, baryum, vanadium, magnésium, souffre, silicium, calcium, sodium, manganèse…

Effets biologiques du tungstène

L’injection (intramusculaire) de microparticules d’un alliage de tungstène (contenant 91,1 % de tungstène, 6 % de cobalt et 2,9 % nickel) chez des rats de laboratoire a rapidement causé l’apparition de cancers avec tumeurs métastatiques agressives sur le site d’implantation. On trouve cependant du nano tungstène combiné ou non, dans les vaccins Infanrix Hexa, Typhérix, Priorix du laboratoire GlaxoSmithKline, dans le vaccin Menjugate de Novartis, dans les vaccins Prevenar et Meningitec du laboratoire Pfizer, dans le vaccin Meningitec de Wyeth Pharmaceutical (UK).

Effets biologiques du strontium

Le strontium non radioactif est toxique pour l’animal et l’humain. En synergie avec d’autres produits tel que le chrome, il provoque des cancers du poumon. Le strontium sous forme de carbonate (SrCO3) ingéré peut provoquer des crampes, la contraction douloureuse de différents muscles. Le nitrate de strontium (SrNO3) engendre des problèmes cardiaques, pulmonaires, hépatiques et rénaux. On retrouve un combiné nano de strontium/aluminium dans le vaccin anti-typhoïde Vivotif Berna du laboratoire Berna Biotech.

Le chrome

Il fait partie des métaux toxiques. L’ingestion de sels de chrome entraine inflammation du tube digestif, nécrose, diarrhées hémorragiques, puis coma. Il est cependant présent en combinaisons nanométriques dans les vaccins : Typhim de Adventis Pasteur ; Mencevax, Infanrix Hexa, Typherix, Fluarix, Cervarix du laboratoire GlaxoSmithKline, Anatetal, Dif-Tet-All, Focetria, Agrippal, Menveo du laboratoire Novartis ; Prevenar 13 et Meningitec du laboratoire Pfizer ; Vaxigrip, Stamaril, Repevax, MMR Vaxpro du laboratoire Sanofi-Pasteur.

Effets biologiques du Hafnium

Le hafnium sous la forme de métal ne pose normalement pas de problème. Il y a très peu d’études dessus. Par contre, tous les composés du hafnium sont considérés comme toxiques. Le composé ZrAlHaf (zirconium aluminium hafnium) retrouvé dans le vaccin anti-typhoïde du laboratoire Berna Biotech a toutes les chances d’être un toxique aux effets totalement inconnus sur la santé.

Effets biologiques de l’antimoine

Vu la grande toxicité de l’antimoine, Santé Canada a émis une norme provisoire pour la concentration maximale acceptable pour l’eau potable qui est de 6 µg/L. Par contre, l’antimoine semble toléré dans les vaccins. On en retrouve dans le vaccin Menjugate de Novartis.

Le bismuth

Le bismuth est très toxique engendrant des dégâts sur le foie, les reins. C’est un neurotoxique affectant l’ensemble du système nerveux central. Ses effets sur l’embryon ou le fœtus n’ont jamais été étudiés. On en retrouve cependant dans les vaccins : Varilix et Fluarix du laboratoire Glaxo ; Agrippal de Novartis ; Gardasil, Repevax, MMR-Vaxpro de Sanofi Pasteur.

Toxicité du baryum

L’intoxication aiguë au baryum chez l’homme se manifeste par plusieurs signes et symptômes tels que des douleurs abdominales intenses, des diarrhées sanglantes, des troubles cardio-vasculaires. L’intoxication aiguë peut aussi se solder par la mort, soit à cause d’une insuffisance respiratoire, soit en provoquant un problème cardiaque. On en retrouve dans le vaccin Tetabulin du laboratoire Baxter, le vaccin Anatetal du laboratoire Chiron, dans les vaccins Infanrix Hexa, Typherix, Fluarix du laboratoire GlaxoSmithKline ; dans les vaccins Anatetal, Dif-Tet-All, Agrippal, Fluad, Menveo du laboratoire Novartis, dans Prevenar 13 de Pfizer, dans Gardasil, Repevax, MMR-Vaxpro du laboratoire Sanofi Pasteur…

Nano mais méga toxique

Outre la toxicité avérée de certains métaux, il est à noter qu’à échelle nanométrique les effets nocifs sont surmultipliés. Tous ces éléments en effet, peuvent passer la barrière hémato-encéphalique, coloniser le cerveau et en règle générale, pénétrer toute cellule du corps humain. Ils ont un effet mutagène sans limite à leur échelle.
Reste à savoir si ces éléments sont dans les vaccins de manière fortuite ou si leur insertion est intentionnelle. Si c’est fortuit, il est inconcevable que des vaccins différents disposent d’exactement les mêmes structures nano-métalliques. Or, c’est le cas.
En effet, la formule AlSiTi (aluminium, silicium, titane) par exemple, se retrouve dans les vaccins des laboratoires Berna Biotech, Novartis et Glaxo-SmithKline. Ces éléments nanométriques vaccinaux ne sont jamais signalés par les laboratoires. Que font-ils là ? Quelle est leur fonction ? Les vaccins ne seraient-ils qu’un prétexte pour des expériences d’ingénierie nano-biologiques sur les populations ? Dans quel but ?

Comment évaluer les risques vaccinaux ?

Avec ces nouvelles découvertes, tout reste à faire pour évaluer scientifiquement les risques de ces soupes vaccinales truffées de nano-composants et de combinaisons nano-métalliques dont on ne connaît à peu près rien. Comment évaluer les effets sur la santé humaine d’une combinaison de zirconium, d’aluminium et de hafnium (ZrAlHf) ? Le ZrAlHf a-t-il fait l’objet d’une étude toxicologique ? Non !
De fait, pour toutes ces formules de métalloïdes, il n’y a à notre connaissance aucune publication scientifique, aucune étude toxicologique et encore moins lorsqu’ils sont combinés à du calcium, du carbone, du silicium, du soufre ou du phosphore. De plus, certaines combinaisons nano-métalliques nous semblent physiquement impossibles. Pourtant elles existent bien !
Comment les laboratoires fabriquant les vaccins ont-ils pu faire de telles prouesses nano-physiques à une si grande échelle ? Cela ne relève, a priori pas de leur domaine de compétence ! Une nouvelle science nano-biologique existerait-elle en marge de nos académies de médecine ? Les vaccins seraient-ils à notre insu, le vecteur d’une néo-science qui ne nous est pas contée ? La maladie des Morgellons trouverait-elle enfin là une explication ?
Un large débat avec les laboratoires et les autorités de santé va devoir s’ouvrir. Sans intégrer ces nouvelles données, il est aujourd’hui impossible d’évaluer le risque vaccinal.
F. Morin
Sources : International Journal of Vaccines 
du 23 Janvier 2017
http://medcraveonline.com
Ci-dessus l’analyse de 44 vaccins par Nanodiagnostics srl, Italy des docteurs Antonietta M Gatti et Stefano Montanari pour le Conseil National de Recherche d’Italie.
Publication Morphéus n° 81 de mai juin 2017.

Aucun commentaire: